Facet Joint Fluid Mri . facet joint neoplasms like osteoid osteoma, plasmacytoma, tenosynovial giant cell. facet joint degeneration, degenerative disc disease and fluid in the facet joints can be readily detected by. patients were divided into two groups: we investigated whether facet joint effusion on conventional supine mri indicated increased abnormal motion in. facet effusion represents a magnetic resonance imaging finding suggesting accumulation of fluid in the. radiologists must also be aware of facet fluid when reporting mri findings in the lumbar spine. the lumbar spine mri demonstrating normal curvature and facet joint fluid is considered a reliable sign of.
from www.vrogue.co
the lumbar spine mri demonstrating normal curvature and facet joint fluid is considered a reliable sign of. facet joint neoplasms like osteoid osteoma, plasmacytoma, tenosynovial giant cell. we investigated whether facet joint effusion on conventional supine mri indicated increased abnormal motion in. radiologists must also be aware of facet fluid when reporting mri findings in the lumbar spine. facet effusion represents a magnetic resonance imaging finding suggesting accumulation of fluid in the. patients were divided into two groups: facet joint degeneration, degenerative disc disease and fluid in the facet joints can be readily detected by.
Mri Lumbar Facet Joint vrogue.co
Facet Joint Fluid Mri radiologists must also be aware of facet fluid when reporting mri findings in the lumbar spine. we investigated whether facet joint effusion on conventional supine mri indicated increased abnormal motion in. facet effusion represents a magnetic resonance imaging finding suggesting accumulation of fluid in the. radiologists must also be aware of facet fluid when reporting mri findings in the lumbar spine. facet joint neoplasms like osteoid osteoma, plasmacytoma, tenosynovial giant cell. the lumbar spine mri demonstrating normal curvature and facet joint fluid is considered a reliable sign of. facet joint degeneration, degenerative disc disease and fluid in the facet joints can be readily detected by. patients were divided into two groups:
From www.researchgate.net
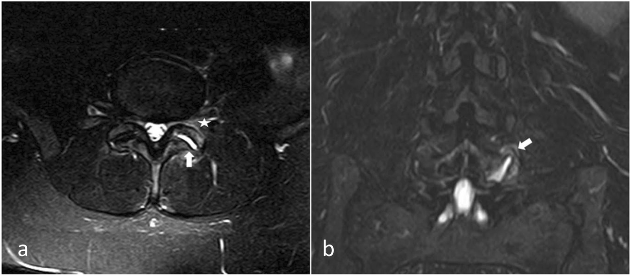
Representative resonance image showing facet effusion (arrows Facet Joint Fluid Mri radiologists must also be aware of facet fluid when reporting mri findings in the lumbar spine. patients were divided into two groups: the lumbar spine mri demonstrating normal curvature and facet joint fluid is considered a reliable sign of. we investigated whether facet joint effusion on conventional supine mri indicated increased abnormal motion in. facet. Facet Joint Fluid Mri.
From www.semanticscholar.org
MR imaging and CT in osteoarthritis of the lumbar facet joints Facet Joint Fluid Mri we investigated whether facet joint effusion on conventional supine mri indicated increased abnormal motion in. patients were divided into two groups: facet joint neoplasms like osteoid osteoma, plasmacytoma, tenosynovial giant cell. facet effusion represents a magnetic resonance imaging finding suggesting accumulation of fluid in the. the lumbar spine mri demonstrating normal curvature and facet joint. Facet Joint Fluid Mri.
From www.cureus.com
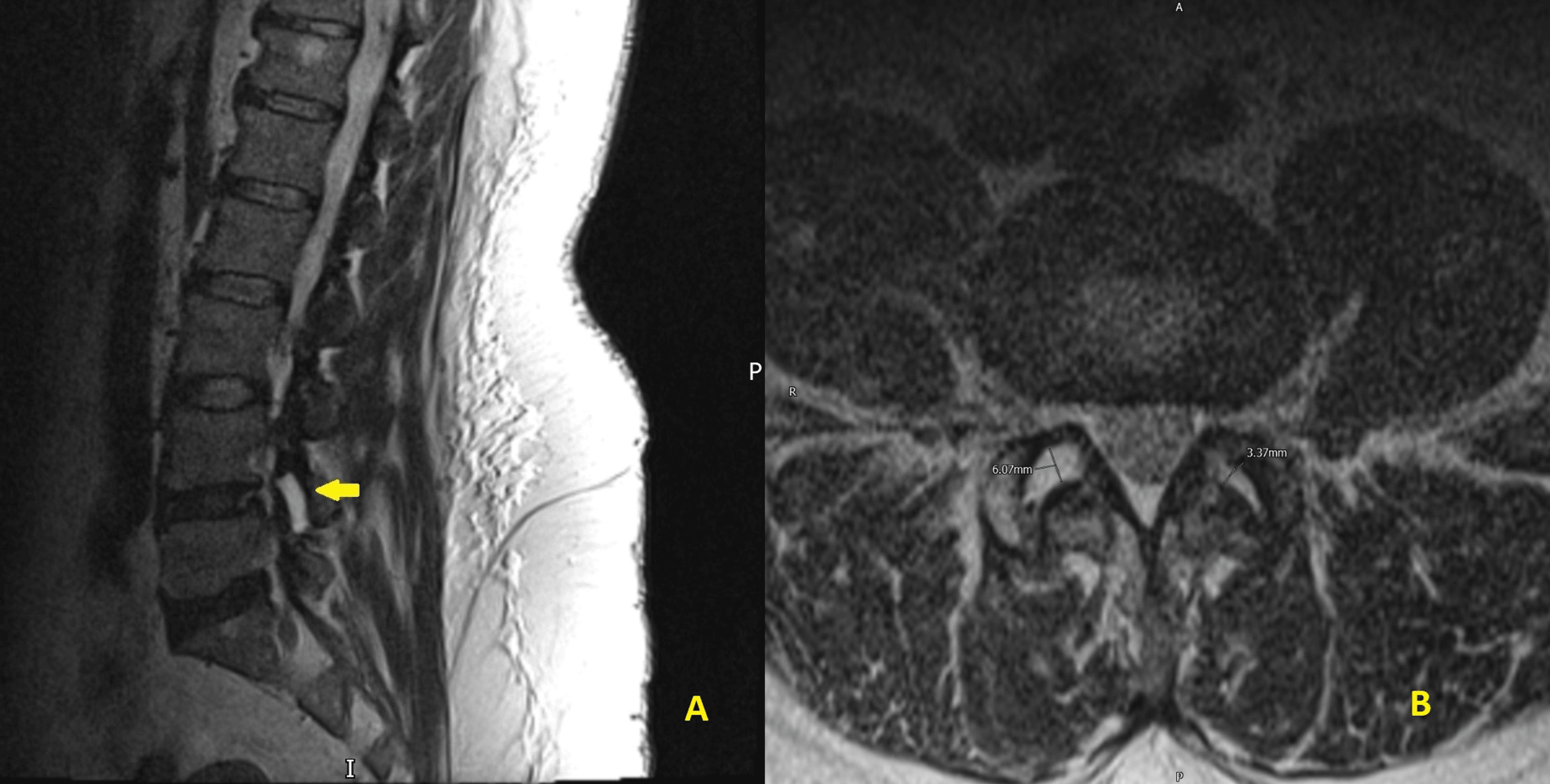
Cureus Lumbar Facet Joint Fluid A Reliable Sign of Lumbar Instability Facet Joint Fluid Mri facet joint degeneration, degenerative disc disease and fluid in the facet joints can be readily detected by. facet effusion represents a magnetic resonance imaging finding suggesting accumulation of fluid in the. we investigated whether facet joint effusion on conventional supine mri indicated increased abnormal motion in. facet joint neoplasms like osteoid osteoma, plasmacytoma, tenosynovial giant cell.. Facet Joint Fluid Mri.
From excelmedicalgroup.com
Lumbar facet joint synovial cyst Excel Medical Group Facet Joint Fluid Mri radiologists must also be aware of facet fluid when reporting mri findings in the lumbar spine. facet joint neoplasms like osteoid osteoma, plasmacytoma, tenosynovial giant cell. we investigated whether facet joint effusion on conventional supine mri indicated increased abnormal motion in. patients were divided into two groups: facet effusion represents a magnetic resonance imaging finding. Facet Joint Fluid Mri.
From www.jrheum.org
Detection of Lumbar Facet Joint Gouty Arthritis Using Dualenergy Facet Joint Fluid Mri radiologists must also be aware of facet fluid when reporting mri findings in the lumbar spine. patients were divided into two groups: facet joint neoplasms like osteoid osteoma, plasmacytoma, tenosynovial giant cell. the lumbar spine mri demonstrating normal curvature and facet joint fluid is considered a reliable sign of. facet effusion represents a magnetic resonance. Facet Joint Fluid Mri.
From radiologykey.com
Facet Joint Effusion Radiology Key Facet Joint Fluid Mri we investigated whether facet joint effusion on conventional supine mri indicated increased abnormal motion in. facet joint neoplasms like osteoid osteoma, plasmacytoma, tenosynovial giant cell. the lumbar spine mri demonstrating normal curvature and facet joint fluid is considered a reliable sign of. radiologists must also be aware of facet fluid when reporting mri findings in the. Facet Joint Fluid Mri.
From www.usaspinecare.com
Facet Disease USA Spine Care Laser Spine Surgery Facet Joint Fluid Mri we investigated whether facet joint effusion on conventional supine mri indicated increased abnormal motion in. facet joint neoplasms like osteoid osteoma, plasmacytoma, tenosynovial giant cell. the lumbar spine mri demonstrating normal curvature and facet joint fluid is considered a reliable sign of. patients were divided into two groups: facet joint degeneration, degenerative disc disease and. Facet Joint Fluid Mri.
From www.researchgate.net
Follow up MRI scan after six weeks showing complete resolution of Facet Joint Fluid Mri facet joint degeneration, degenerative disc disease and fluid in the facet joints can be readily detected by. facet joint neoplasms like osteoid osteoma, plasmacytoma, tenosynovial giant cell. the lumbar spine mri demonstrating normal curvature and facet joint fluid is considered a reliable sign of. we investigated whether facet joint effusion on conventional supine mri indicated increased. Facet Joint Fluid Mri.
From radedasia.com
SPINE FACET JOINT MRI ONLINE RADIOLOGY COURSES KEY POINTS FROM OUR Facet Joint Fluid Mri radiologists must also be aware of facet fluid when reporting mri findings in the lumbar spine. facet joint degeneration, degenerative disc disease and fluid in the facet joints can be readily detected by. the lumbar spine mri demonstrating normal curvature and facet joint fluid is considered a reliable sign of. we investigated whether facet joint effusion. Facet Joint Fluid Mri.
From www.vrogue.co
Mri Lumbar Facet Joint vrogue.co Facet Joint Fluid Mri radiologists must also be aware of facet fluid when reporting mri findings in the lumbar spine. facet joint degeneration, degenerative disc disease and fluid in the facet joints can be readily detected by. we investigated whether facet joint effusion on conventional supine mri indicated increased abnormal motion in. the lumbar spine mri demonstrating normal curvature and. Facet Joint Fluid Mri.
From thepainsource.com
Lumbar Facet Joint Synovial Cyst The Pain Source Facet Joint Fluid Mri patients were divided into two groups: facet effusion represents a magnetic resonance imaging finding suggesting accumulation of fluid in the. radiologists must also be aware of facet fluid when reporting mri findings in the lumbar spine. facet joint degeneration, degenerative disc disease and fluid in the facet joints can be readily detected by. we investigated. Facet Joint Fluid Mri.
From radiologycases.my
Posterior annular tear with facet joint injection Radiology Cases Facet Joint Fluid Mri we investigated whether facet joint effusion on conventional supine mri indicated increased abnormal motion in. patients were divided into two groups: the lumbar spine mri demonstrating normal curvature and facet joint fluid is considered a reliable sign of. facet joint degeneration, degenerative disc disease and fluid in the facet joints can be readily detected by. Web. Facet Joint Fluid Mri.
From www.cureus.com
Cureus Excessive Fluid in the Lumbar Facet Joint as a Predictor of Facet Joint Fluid Mri facet joint degeneration, degenerative disc disease and fluid in the facet joints can be readily detected by. radiologists must also be aware of facet fluid when reporting mri findings in the lumbar spine. the lumbar spine mri demonstrating normal curvature and facet joint fluid is considered a reliable sign of. facet joint neoplasms like osteoid osteoma,. Facet Joint Fluid Mri.
From drwolgin.com
Facet Arthritis Drwolgin Facet Joint Fluid Mri facet effusion represents a magnetic resonance imaging finding suggesting accumulation of fluid in the. facet joint neoplasms like osteoid osteoma, plasmacytoma, tenosynovial giant cell. radiologists must also be aware of facet fluid when reporting mri findings in the lumbar spine. facet joint degeneration, degenerative disc disease and fluid in the facet joints can be readily detected. Facet Joint Fluid Mri.
From link.springer.com
Facet joint syndrome from diagnosis to interventional management Facet Joint Fluid Mri radiologists must also be aware of facet fluid when reporting mri findings in the lumbar spine. patients were divided into two groups: we investigated whether facet joint effusion on conventional supine mri indicated increased abnormal motion in. the lumbar spine mri demonstrating normal curvature and facet joint fluid is considered a reliable sign of. facet. Facet Joint Fluid Mri.
From www.researchgate.net
AD Four grades of facet joint osteoarthritis on MRI (TR = 570 ms/TE Facet Joint Fluid Mri facet effusion represents a magnetic resonance imaging finding suggesting accumulation of fluid in the. radiologists must also be aware of facet fluid when reporting mri findings in the lumbar spine. the lumbar spine mri demonstrating normal curvature and facet joint fluid is considered a reliable sign of. patients were divided into two groups: we investigated. Facet Joint Fluid Mri.
From aneskey.com
Lumbar Facet Joint Cyst Drainage and Injection Anesthesia Key Facet Joint Fluid Mri radiologists must also be aware of facet fluid when reporting mri findings in the lumbar spine. facet joint neoplasms like osteoid osteoma, plasmacytoma, tenosynovial giant cell. we investigated whether facet joint effusion on conventional supine mri indicated increased abnormal motion in. the lumbar spine mri demonstrating normal curvature and facet joint fluid is considered a reliable. Facet Joint Fluid Mri.
From mavink.com
Mri Lumbar Facet Joint Facet Joint Fluid Mri facet effusion represents a magnetic resonance imaging finding suggesting accumulation of fluid in the. patients were divided into two groups: the lumbar spine mri demonstrating normal curvature and facet joint fluid is considered a reliable sign of. radiologists must also be aware of facet fluid when reporting mri findings in the lumbar spine. facet joint. Facet Joint Fluid Mri.